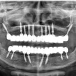
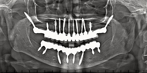
Features
- Body
- Slender micro-tapering body & Excellent bending capacity.
Korticale Basale
Highlights
Aesthetic Profile & Functional Strength.
Progressive single spiral threads. Higher Bone Implant contact. Improved primary stability. More Resistance to Tensile & Compressive forces. Flame shape threading pattern enables higher primary stability.
Allow insertion in minimum drilling.
Optimum basal bone engagement
Micro-polished tip without any sharp edges.
Measurement Information


